Composite Veneers are an option for patients who seek to improve the size, shape, and overall look of their smile. The process involves the placement of 'tooth-coloured' composite resin over the existing teeth, usually without any change or modification to the underlying tooth structure. The process is thus very conservative and often suits younger and teenage patients.
When provided by a Specialist, multilayered composite veneers can be coloured, shaped and polished to a degree that almost perfectly mimics natural teeth. As there is so much hand shaping and finishing involved by the clinician, it is easy to understand why experience and expertise plays an important role in the outcome of composite veneer placement.

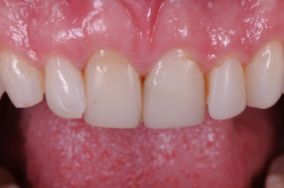
This patient presented with existing old composites on her incisors. She was unhappy with the colour and shape of these composites which were placed when she was younger. She wanted to 'refresh" her smile

The existing composites were carefully removed (so as not to damage the enamel beneath) and then new multi-layered composite veneers were placed. After two appointments, her result was natural-looking and beautiful
_______________________

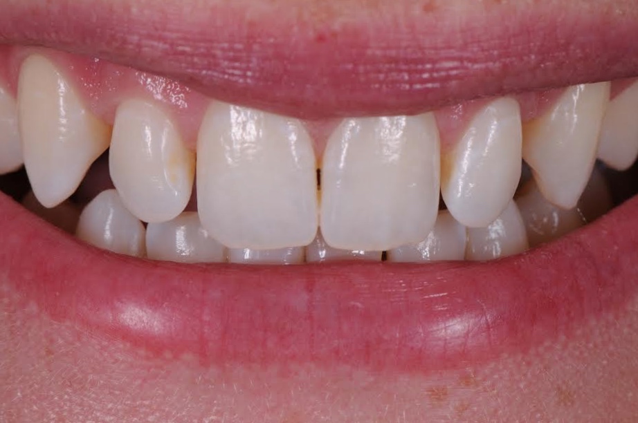
This young lady sought treatment to improve the appearance of her smile. She was mostly concerned with the spaces between her teeth, as well as their proportions relative to one another

Her central incisors looked a little small, her lateral incisors looked very small, and her canine teeth were quite prominent at the corners of her smile

New, multi-layered composite veneers were the perfect, and very conservative solution

She loved the look of her new smile which showed slightly larger, more natural looking teeth
_______________________

This patient's previous composite fillings were deep, leaking and stained

There was decay under many of the old composites and some of the teeth had become sensitive. She also knew that the teeth had changed colour over the years and so she wanted an overall nicer smile

The solution for this lady was the replacement of her old fillings with new composite veneers, which extended over the whole front surface of each tooth. This still very conservative approach allowed us to reshape and recolour her teeth for an improved appearance

In one procedure, the composite veneers thus consolidated her teeth, and improved her smile