A beautiful aesthetic result is possible with composite restorations, through the expertise of a Specialist. Composites are a type of hardened plastic, that can be adapted to the tooth in the form of small or large fillings, or as complete composite veneers or build-ups. They can provide a very good shade match with the natural teeth, and a nice polish that lasts for many years.
Case #1
The initial photo shows a young girl's fractured central incisor. She had been struck in the face with a tennis racket and her incisor fractured in its lower third. Fortunately, the pulp (nerve) of the tooth was still alive and so treatment was focused on restoring the fractured part. The best treatment option was to rebuild the tooth with a composite restoration, however the patient had a lot of fine detail in her natural teeth (zones of translucency, opactity and fine white flecks). Thus the matching of all of this was quite a complex exercise - and required Specialist treatment.
Case #2
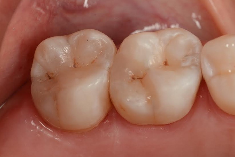
The second case demonstrates how composite restorations can be used to replace old amalgam restorations. The advantage of a modern, well-adhered composite restoration is that it can act to biomechanically strengthen a tooth by "gluing it together" - something an amalgam generally cannot do. Ultimately, a well-placed composite restoration may indeed be better for the tooth than an amalgam filling over the long term. In fact, when placed nicely, the composite restorations can also look so natural that they can be almost impossible to detect ! Can you see the two composites in the last photo ?

The right central incisor was fractured just shy of its pulp. Fortunately, the tooth was still alive and a carefully placed composite restoration was required

This close-up photo shows the fine cracks radiating out from the main fracture line. It also shows the many zones of colour in the adjacent natural teeth, including many small white flecks

A composite restoration was placed in many small increments of different colours, to simulate the natural appearance of the adjacent teeth as closely as possible. Careful bonding also allowed the sealing up of the little crack lines as well

With Specialist level care, the restored smile looks perfect and it is almost impossible to tell that the incisor was ever fractured
_______________________

Note the cracking and craze lines that are in the enamel, just adjacent to these old amalgam restorations

The new composite restorations are so well integrated into these teeth that they are almost impossible to detect