At Brisbane Prosthodontics, we understand the importance of a healthy, perfect smile! Each patient is unique, and as such, no "perfect smile" is alike !
Sometimes, rejuvenating a smile might be as simple as whitening the teeth, and replacing some old, stained fillings. Other times, it may involve some veneers or possibly even some new crowns. There are often many ways to improve and refresh a person's smile, and in our Practice, we strive to bring out the best in your smile, by listening to your desires and treating conservatively to achieve the best possible outcome.
Within this section are some examples of Smile Rejuvenations that were perfected at Brisbane Prosthodontics.
Several examples of Smile Rejuvenation are shown below. All of these patients came to us expressing a desire to make the smile look nicer, and more youthfull. Some of these patients were treated with Tooth Whitening and the replacement of their old fillings with new composites, while others were treated with new porcelain crowns or porcelain veneers.

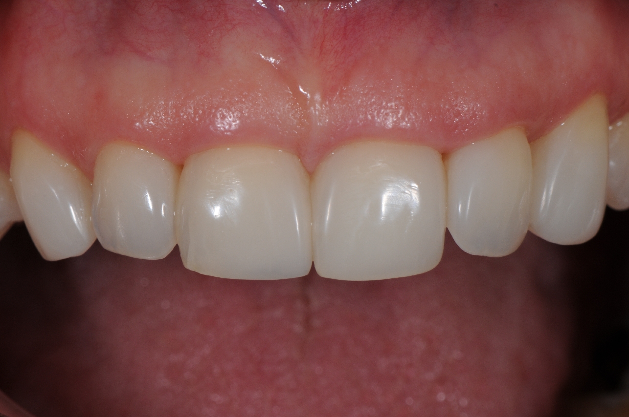
Old crowns and age-stained teeth and fillings detract from this lady's overall appearance.

The careful replacement of these existing restorations, and the use of conservative porcelain veneers returned beauty to this smile.
_______________________

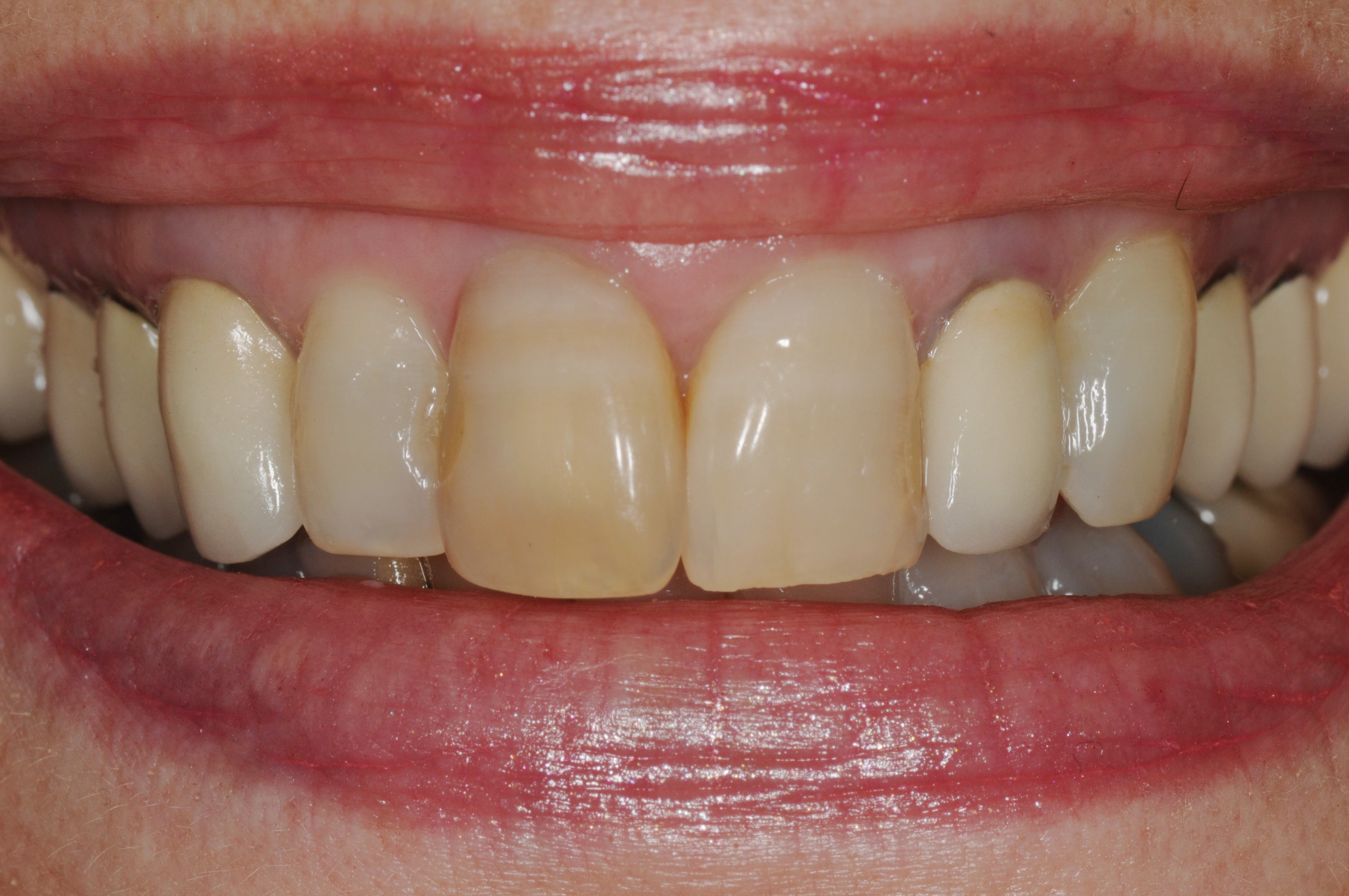
This man's teeth were filled many years ago. The fillings were staining badly, and he still had some old gold fillings from a long-ago era.

These old restorations created an aged look to this man's smile. He wanted to create a healthier look.

The new crowns (and one dental implant) replaced all of the old fillings and covered up the stained teeth beneath.

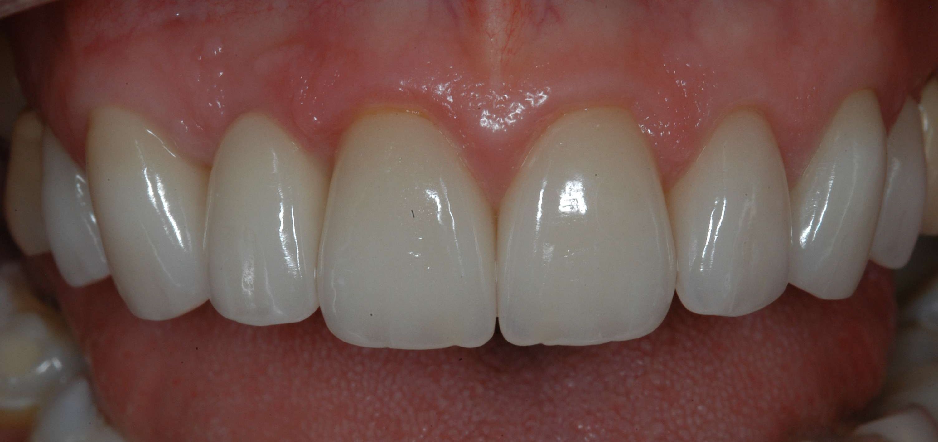
The result of this treatment was a younger, healthier looking smile, which was a better match with this man's personality !
_______________________
.jpeg)
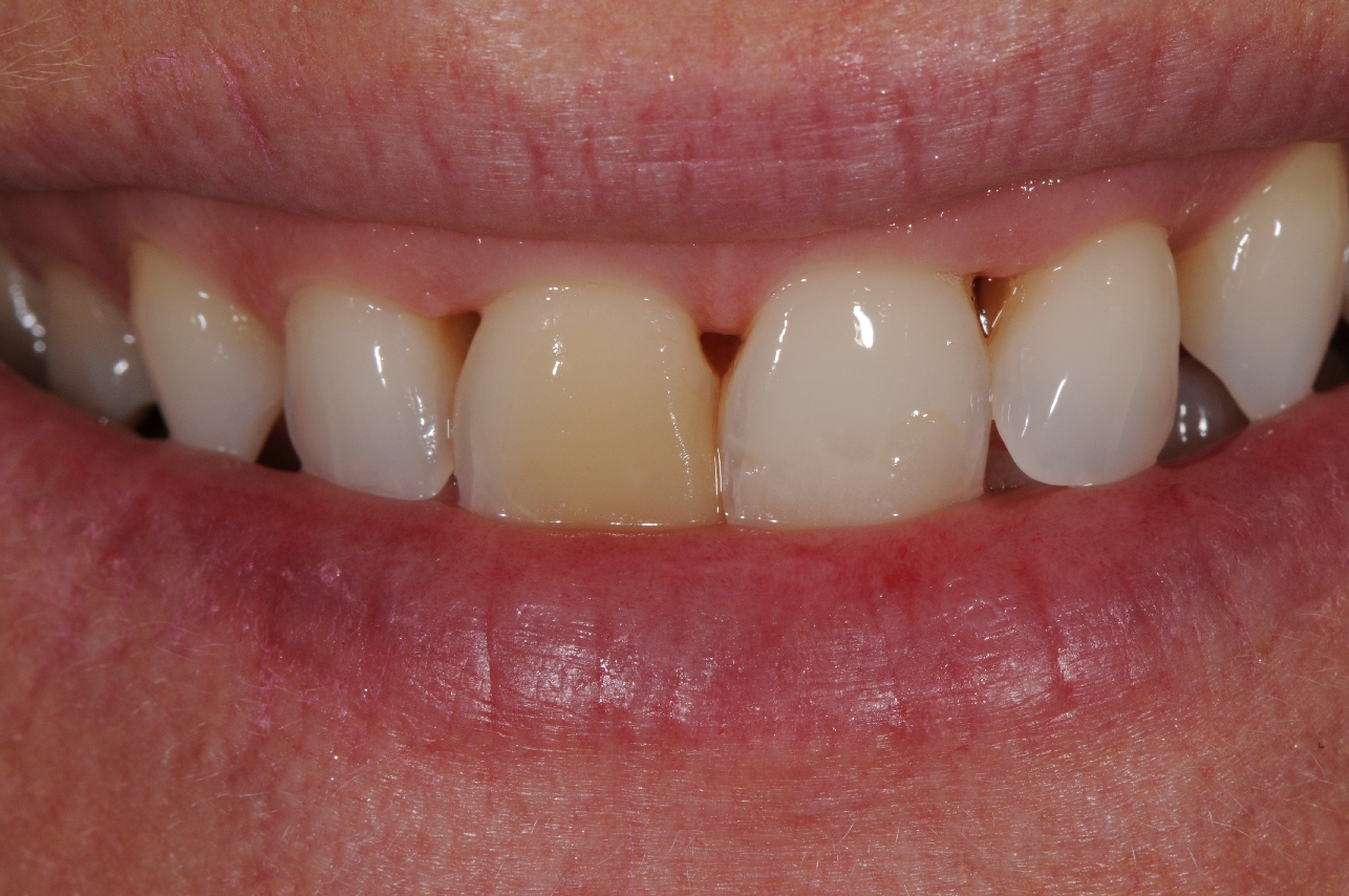
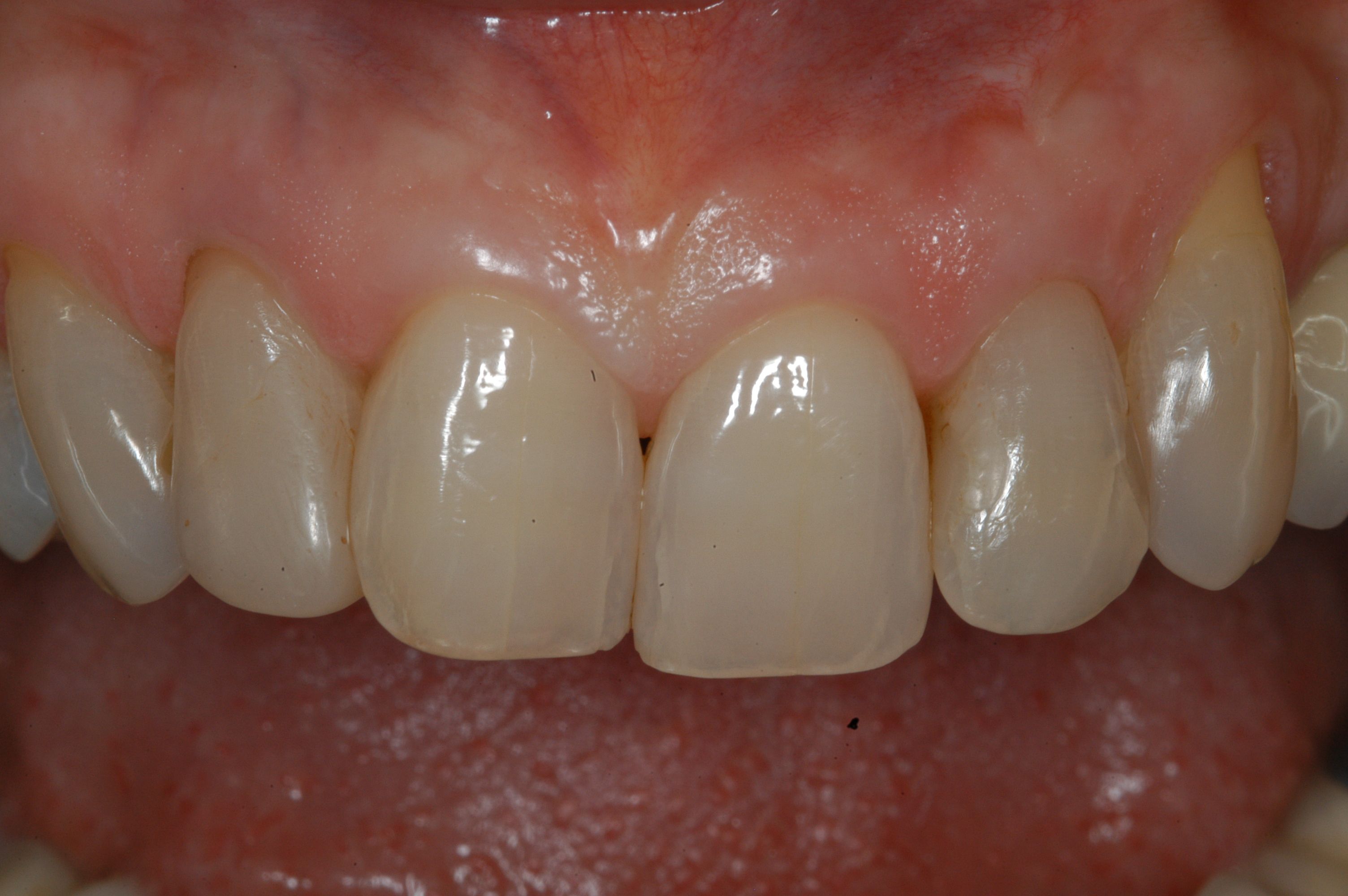
The worn and stained condition of these heavilly filled teeth made this lady's smile look much older than she was.
.jpeg)
The new porcelain crowns are not too white, and very natural in appearance. The result was a younger and healthier looking smile, and a very happy patient.
_______________________

This lady was unhappy with her smile. She saw yellow teeth and black spaces between them.

The old fillings had stained yellow, and previous bouts of periodontal disease had caused recession of the gums between the teeth, leading to unsightly black spaces.

Tooth whitening improved the overall colour of her teeth, and then new composite restorations were placed - matching in to the new whiter colour. We also closed the spaces !

Tooth whitening together with the careful replacement of the old fillings with new composites has resulted in a simple, cost effective and beautiful smile makeover.
_______________________

This lady presented seeking to consolidate her teeth and, in her own words, "just make things look a little better"

Her concern was that there were many big, old fillings behind these teeth, and overall, she just wanted to have stonger teeth that looked a little bit nicer.

The aim of this treatment was to replace all of the old fillings with porcelain to reinforce and strengthen the teeth. The patient specifically did not want her smile to look too different, just a little bit nicer.

The final outcome was exactly what this lady was seeking. Stronger, longer lasting teeth, that look nicer but still look very age appropriate. No one would ever know she'd had porcelain veneers !