A Dental Implants is a substitute for the root of a missing tooth. Once the implant is placed and has healed, a crown is then connected to it.
Implants are made from Titanium and are perfectly biocompatible. An implant can be placed at the time a tooth is removed, or sometime later, depending on the clinical situation. The gum will heal in just a few days after the implant placement, and the bone around the implant will then mature over the next 2-4 months. Once the implant is fully healed, impressions are made and sent to the Dental Laboratory, where the prosthesis (crown, bridge or denture) is fabricated. A few weeks later, the prosthesis is then fitted to the implant, completing the treatment.
Dental implants have opened up many treatment options that were not available just a few years ago. Implants can be used to replace individual teeth (with crowns), a few teeth (with bridges) or whole dentitions (using dentures and full arch bridgework).
Our patients can now "have their teeth back", when dental implants are placed and restored correctly.
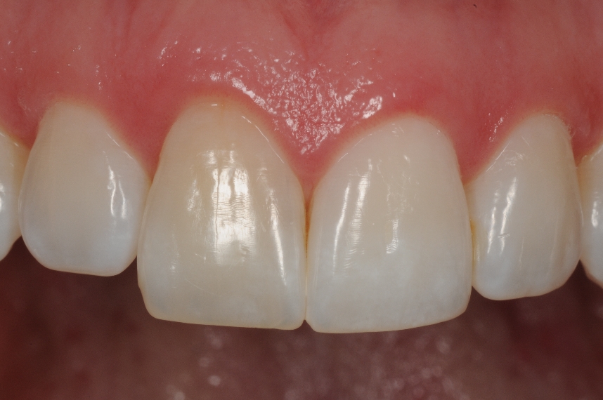
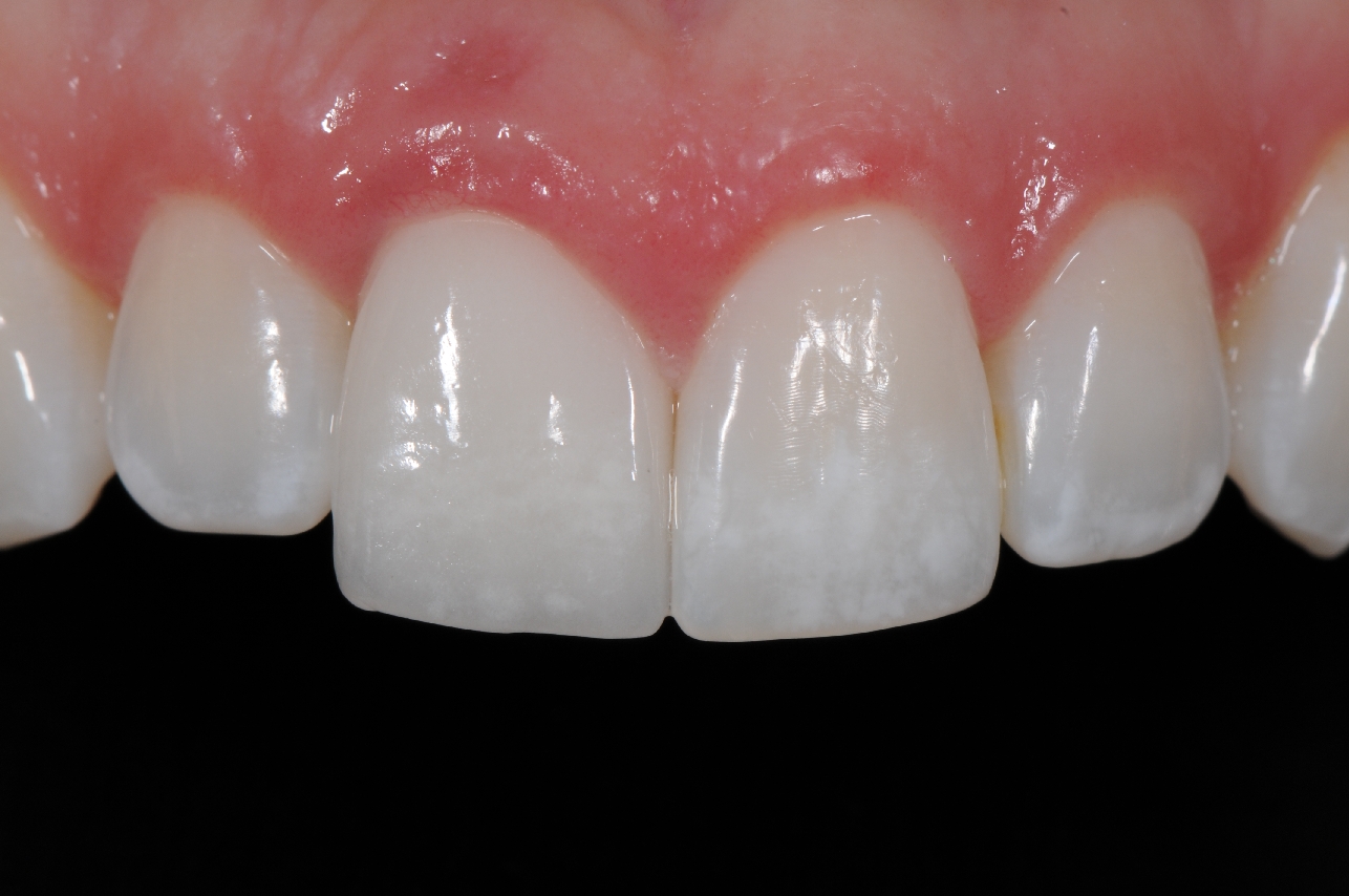
In the case example below, the patient had a failing right central incisor (the dark tooth) which could not be saved by conventional dental treatment. To ensure the best outcome, we staged the process to ensure the tooth was carefully removed, some soft and hard tissue grafting was performed and then the implant was placed. A zirconia abutment and an all-porcelain crown were used to restore the implant. The final result is nearly a perfect match with the adjacent natural teeth. Only the x-ray at the bottom of this page shows the true situation !

The failing right central incisor had been diagnosed with a root fracture and could not be restored
.jpeg)
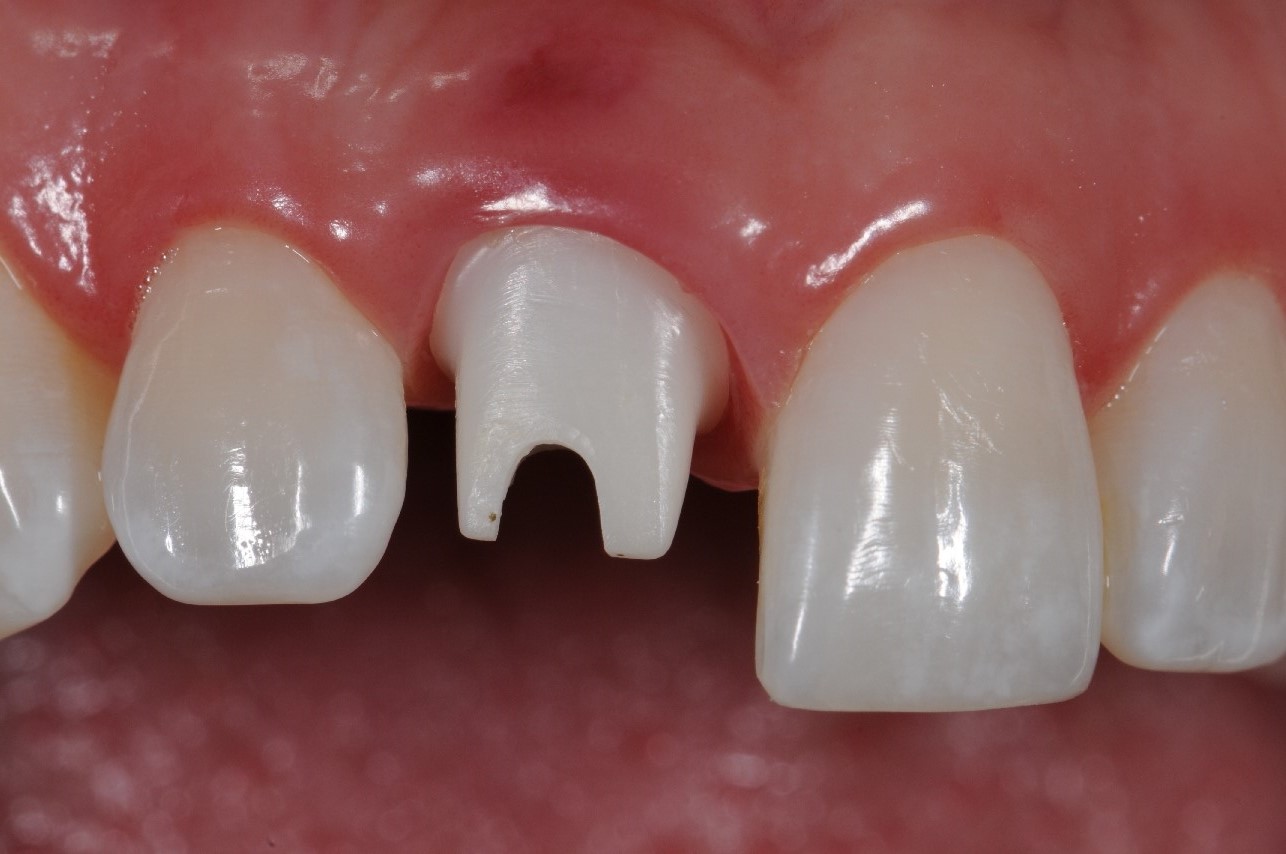
The abutment is the connecting piece which joins a crown to its implant
.jpeg)
The abutment is secured onto the implant with a screw, and the crown is then secured onto the abutment with an adhesive

When every aspect of the treatment is properly planned and Specialist level care is provided, the final result can be outstanding

This final x-ray shows the appearance of the implant restoration (implant + abutment + crown) compared to the adjacent natural teeth.