When two or more teeth are missing, an implant bridge can be used to replace the teeth. This may involve two implants being placed, and then 3 or more crowns are fitted to the implants - all linked together in a bridge. Or alternatively, sometimes just one implant can be placed and two crowns are then connected to that one implant, so that the new bridge has a cantielever design.
The two cases below demonstrate both the conventional implant bridge and the cantilever style of implant bridge.

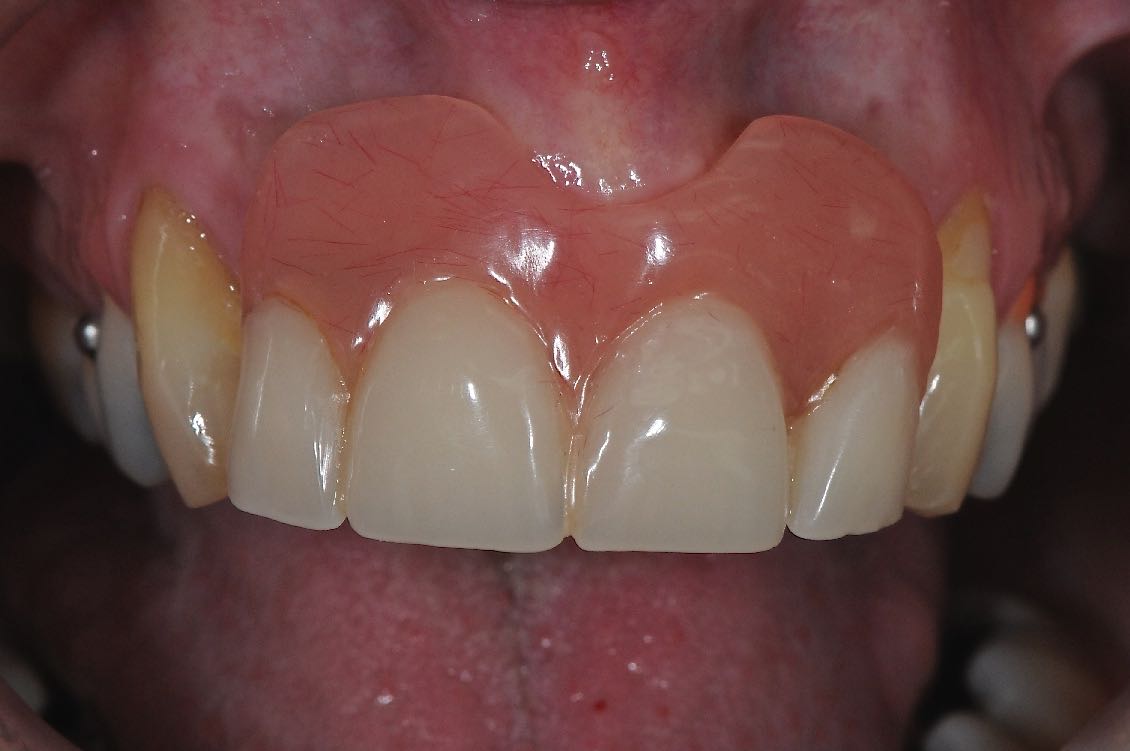
This lady presented seeking a permanent solution for her four missing incisor teeth. She lost the teeth many years ago in an accident, and had been fitted with a denture.

The denture was rather bulky with a lot of pink acrylic making it thick in the incisor region, under her lip. It was also a removable prosthesis which sometimes came loose. It always worried this lady that the denture may come loose at a socially awkward moment.

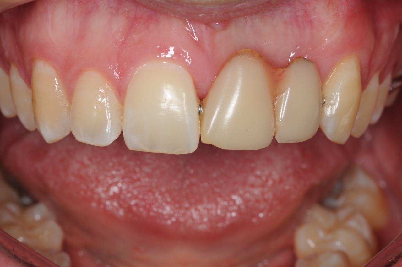
Two implants were placed and then a 4-tooth bridge was made and fitted to the implants. The bridge was secure, functional, and not as bulky as the denture.

The lady was delighted with her treatment. Her new bridge looked and felt almost the same as natural teeth, and she no longer had to worry again about it falling out at an inopportune time !
_______________________

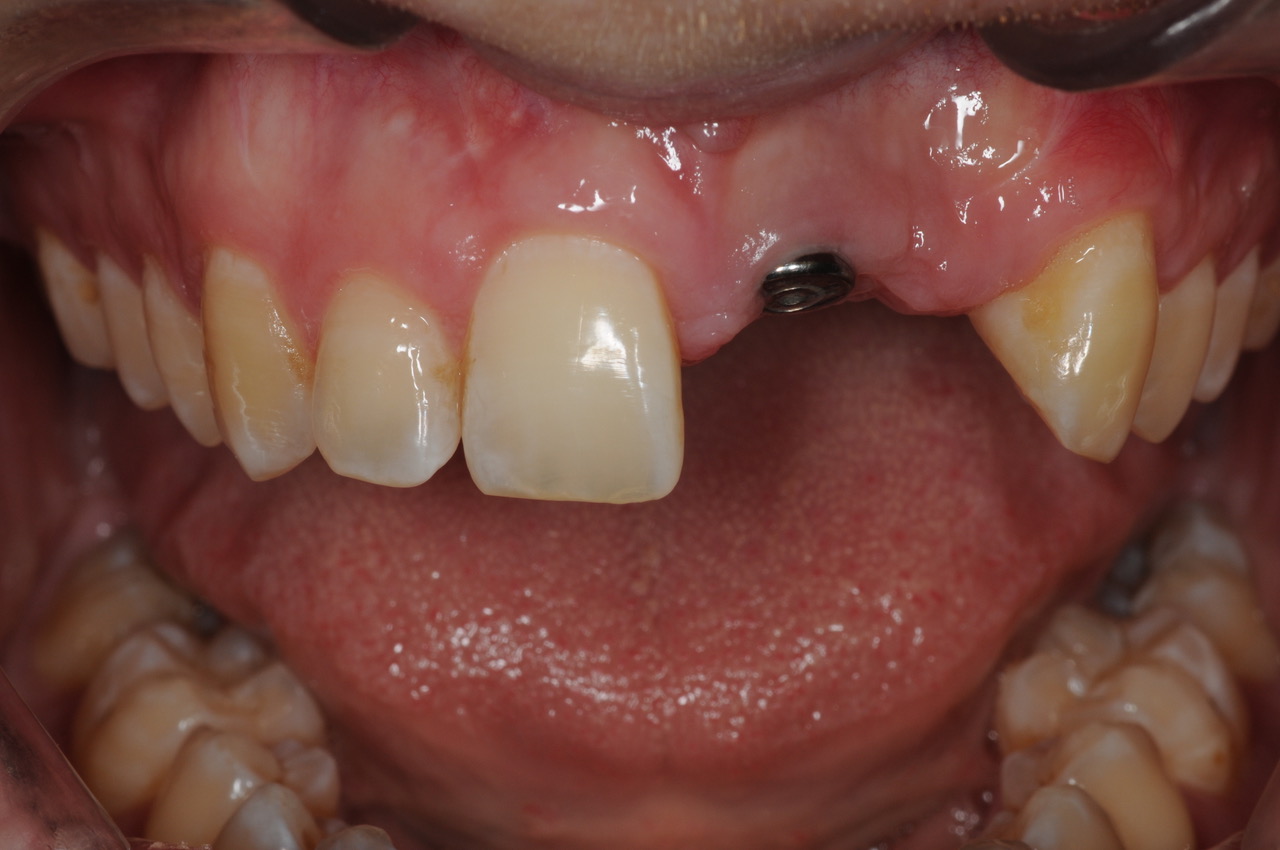
This young man was missing his left central and lateral incisors. He wore a partial denture to replace these two teeth

He did not like the partial denture as it was bulky in his mouth, often came loose while he was eating, and it had stained and worn which made him uncomfortable about his smile.

As the teeth had been missing for many years, there was quite a bone and soft tissue defect. Some grafting procedures were required for this case.

The implant was placed, healing was allowed to progress for nearly 6 months (due to the grafting stages), and the young man continued to wear his partial denture during this time.

One restorative abutment was placed on the implant and then a 2-tooth cantilever bridge was placed on the abutment. The final result appears to be two teeth, but in fact, they are joined together as a bridge, and they are only supported by the one implant, which is in the central incisor position. This design is very functional and also easy for the patient to clean.

The final photographs reveal a functional and very aesthetic result, utilising a cantilever bridge. This type of bridge is very durable, and also saves treatment complexity and cost as only one implant and one restorative abutment are required, rather than two of each.