There are several porcelain materials that can be used to produce crowns with a natural and beautiful appearance. Knowing which one to use for a given situation is essential as one type of porcelain will not meet all clinical indications.
The first case example below shows the difference between crowns that were made and placed in Thailand, and crowns provided by a Specialist in our practice. The difference is quite obvious, with the old crowns seeming opaque, joined together, and generally appearing to be fake teeth. The new crowns are difficult to distinguish from their adjacent natural counterparts.
The second case demonstrates how fine quality, locally made porcelain crowns and veneers will create a perfect and natural appearance, when they are expertly placed on teeth.

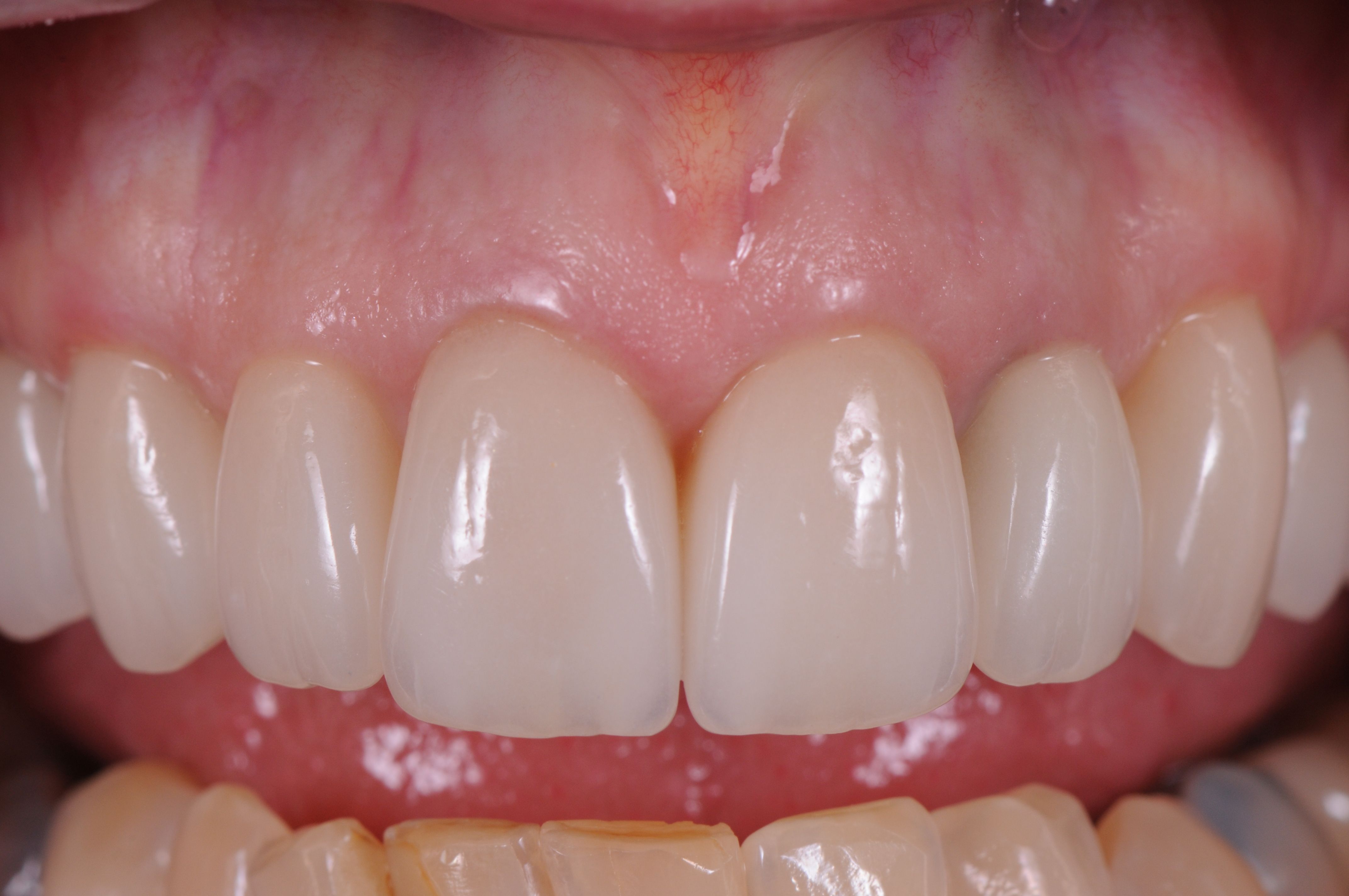
These existing crowns were provided by a clinic that marketed heavily to tourists and purported to be the best in Thailand

The new crowns that we made used a more translucent porcelain and our Ceramist paid greater attention to detail of the overall tooth form and surface morphology
_______________________

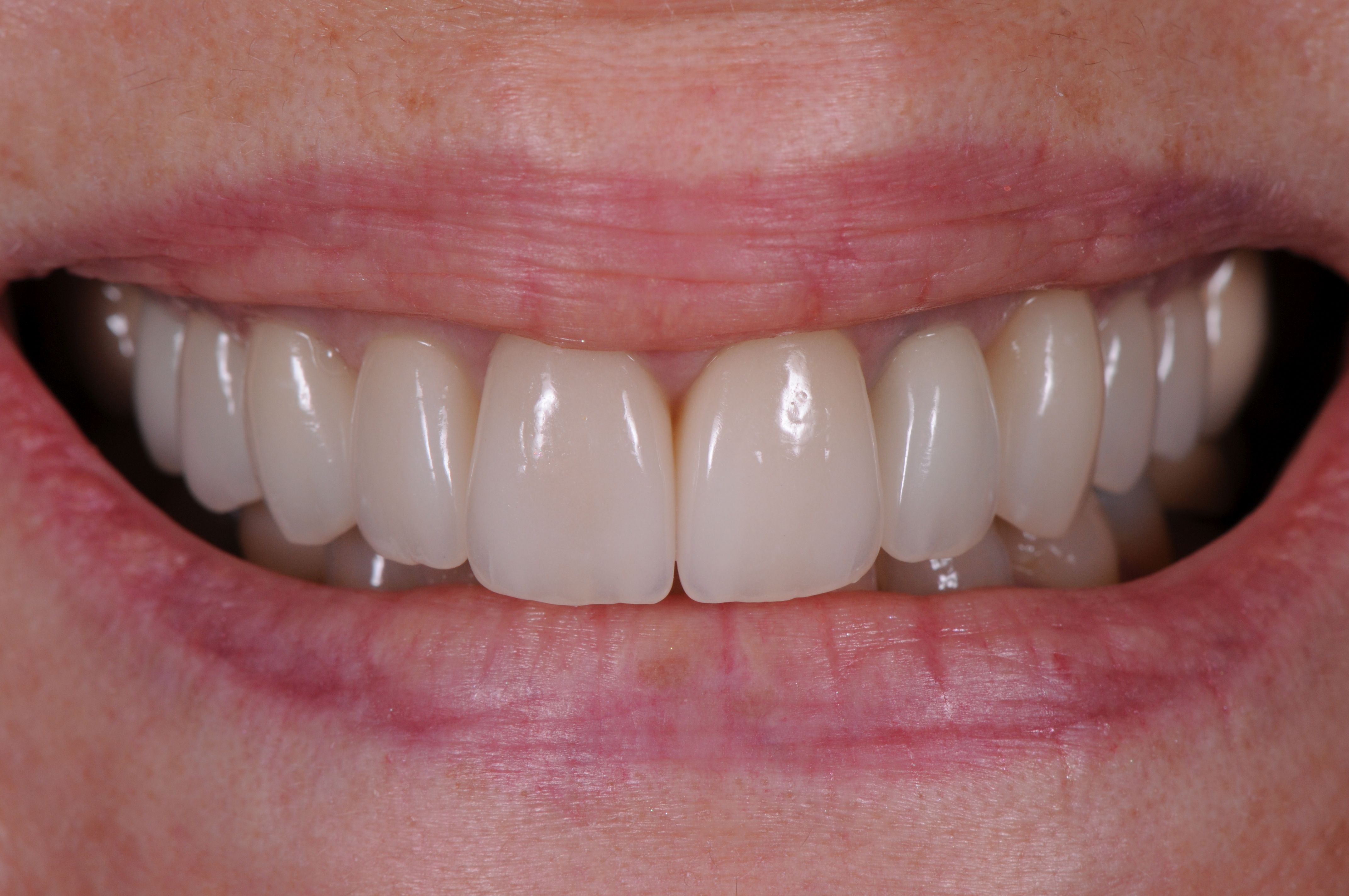
The almost jewellery-like appearance of high quality porcelain restorations, made by our local Ceramists, using exacting techniques

These crowns and veneers were made with an exceptional fit, and were expertly bonded to place. Great care throughout the process meant there was no residual cement or defects in the process

The final result is a very natural-looking combination of great aesthetics and perfect tissue health which will last for many years.