Dental Erosion (or Tooth Erosion) is unfortunately becoming a more and more common condition. It is due to many overlapping factors, but mostly involves problems with a person's diet and their saliva quality and quantity. Patients experiencing dental erosion often have a diet high in soft drinks or sports drinks, citrus or other tangy fruits, sour lollies and candies or supplements and vitamins. They also tend to be chronically dehydrated by being very active in sports/exercise, by working outdoors or in hot environments, or by simply not drinking enough water. Though Dental Erosion can effect a person at any age, we are sadly seeing more and more younger people being afflicted by this very damaging disease.
The good news is that Erosion can be treated by a combination of dietary and habit improvements, followed by careful build-up of the affected teeth. The use of adhesive procedures means that often, we can avoid the need for crowns on many teeth and instead use more conservative procedures like composite buildups.

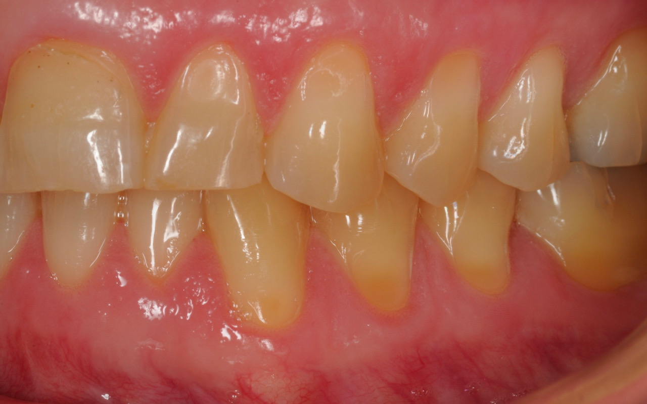
In this close-up photo, the tell-tale signs of erosion can be seen near the gum level where the enamel has been lost and the underlying dentine is now showing through.

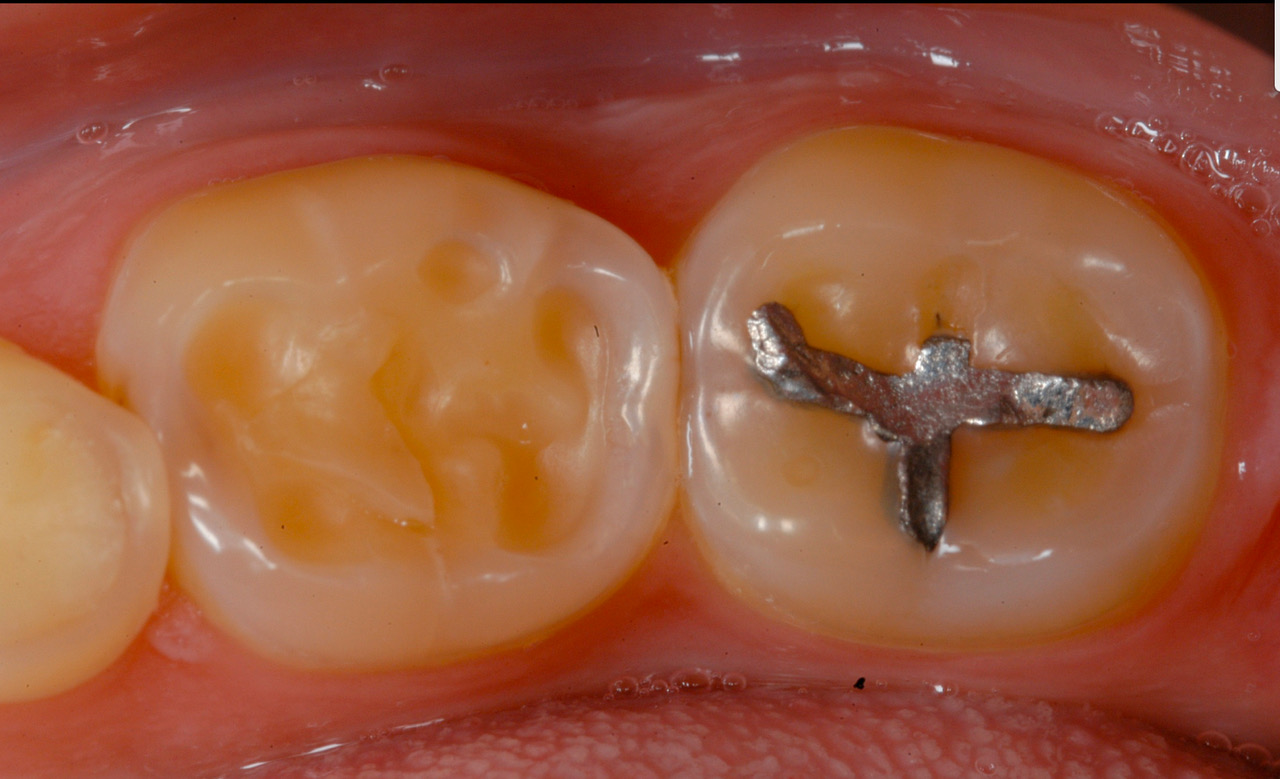
This close-up photo shows almost all of the enamel on the biting surfaces has dissolved away, leaving the old amalgam filling standing high. The yellow colour is the underlying dentine. These teeth were very sensitive by this stage.
_______________________

This young lady was only in her twenties. Her habit was to drink several cans of Cola each day. She had been doing this for many years during her University studies.

Fizzy soft drinks and Colas in particular, are very acidic. As she drank her cola, the front surface of her incisors came into contact with the acid first, leading to these front surfaces being the most damaged.

After discussing the changes she needed to make to her habits and diet, we then were able to restore her teeth very conservatively with composite buildups. No further tooth structure was lost in the process.
_______________________

This middle-aged lady had a very dry mouth due to the medications she was taking and also due to a high tea/coffee intake. The dry conditions allowed her teeth to become subject to acids which softened them, and then tooth wear of the incisal edges followed.

This photo was taken immediately after the buildup of the affected teeth. The new length and form of her incisors was achieved with composite buildups and the acid-damaged tooth structure was safely covered over by these conservative Composite Build-ups.
_______________________

This lady was aged in her mid-30s when she came to see us. She had been advised by an Alternative Therapist to drink lemon juice each morning to "improve her digestion and overall health". She had been doing this for many years.

Lemon juice is highly acidic and drinking it (or chewing lemon rinds) is very damaging to your teeth. This close-up photo shows the loss of enamel on the sides of the teeth near the gum line, as well as loss of tooth length and overall shape. Her teeth were very sensitive.

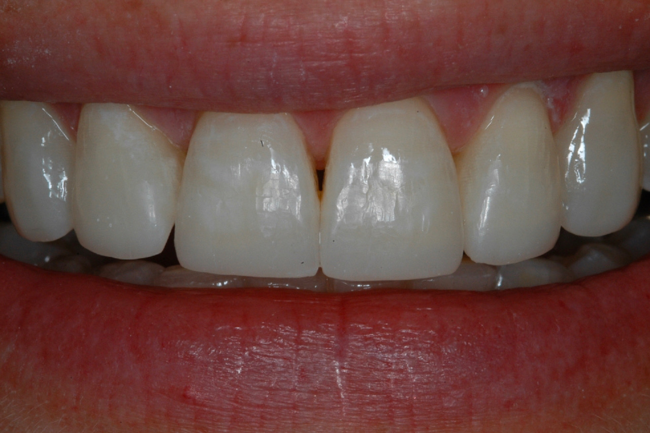
This lady sought the best possible cosmetic outcome and so after diet and habit improvements, she was treated with a combination of composite restorations and porcelain veneers.

Her final smile is beautiful and shows that careful treatment planning and the use of conservative, adhesive dental procedures can produce a very natural outcome. It is difficult to detect that this person ever suffered from dental erosion.
_______________________

When this gentleman came to see us, he had been complaining of short and sensitive teeth for many years. His significant source of acid was from stomach reflux and heartburn.

Stomach acid is actually Hydrochloric Acid, and its pH can be as low as 1. It is very damaging to teeth and patients with reflux, or who vomit frequently, or even those who just seem to burp often, are all people who can do enormous damage to their enamel and dentine.

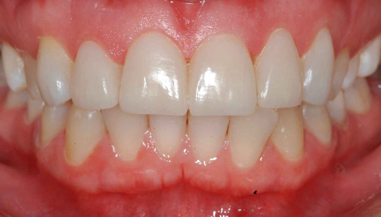
In this case, the damage was so severe that some teeth could not be restored with Buildups alone, and so some crowns were needed. In this photo, a combination of porcelain crowns and composite buildups has been used to restore his dentition.

This patient was treated with diet advice, medication for his reflux and a combination of porcelain crowns, onlays and composite buildups. The final outcome is both functional and very aesthetic.
_______________________

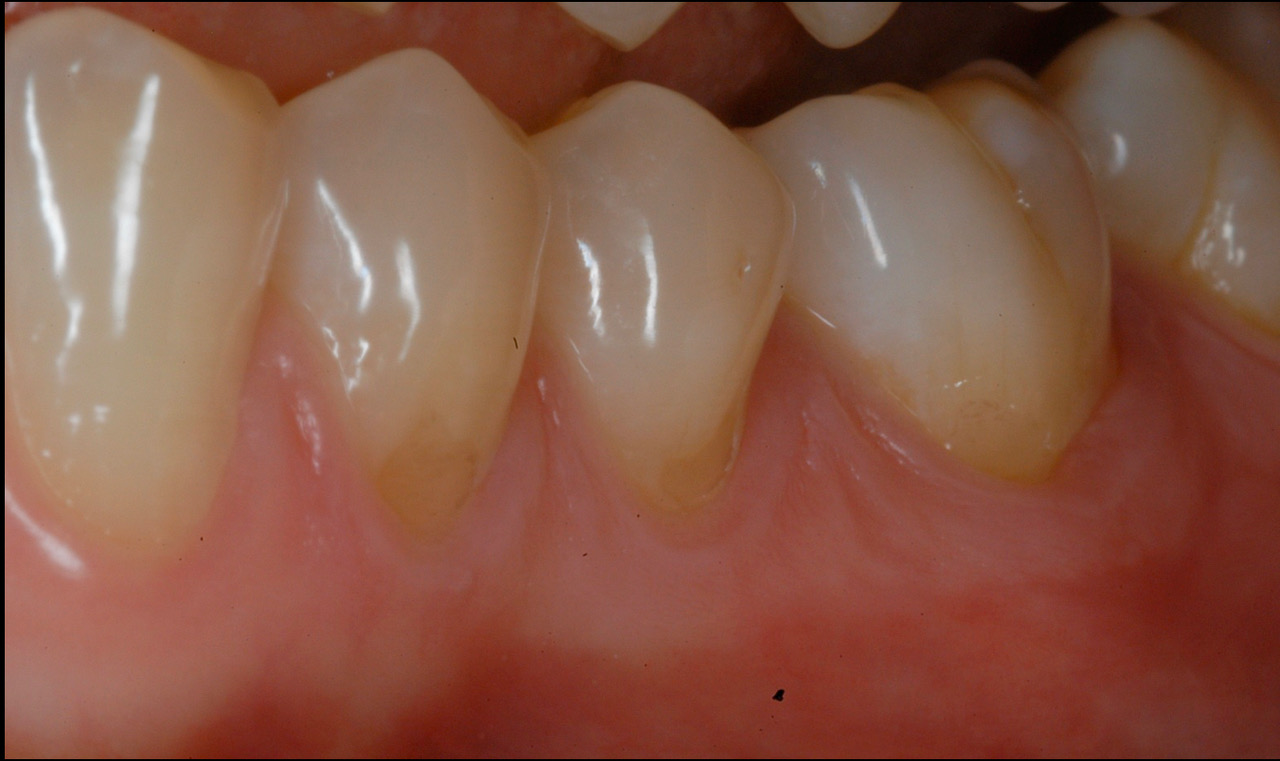
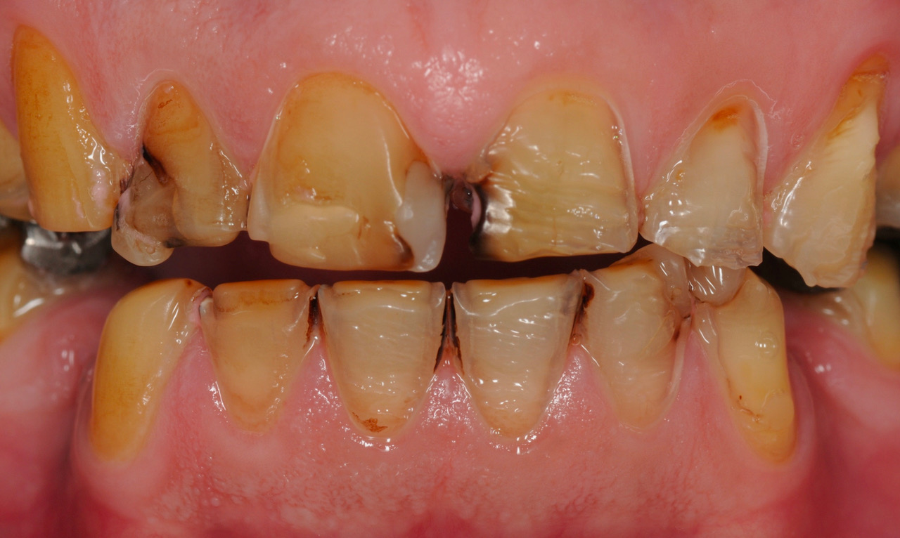
This young lady presented to us at age 22. She had been told since she was 15, that her teeth were "wearing down". She did not know why or what to do.

A close-up view of these teeth shows both erosion (dissolving away of the tooth) as well as decay. The cause of her problems started when she used to drink a can of cola on the way to and from school every day, as well as more when at home. The cola acids were dissolving her teeth while the cola sugars were causing the decay.

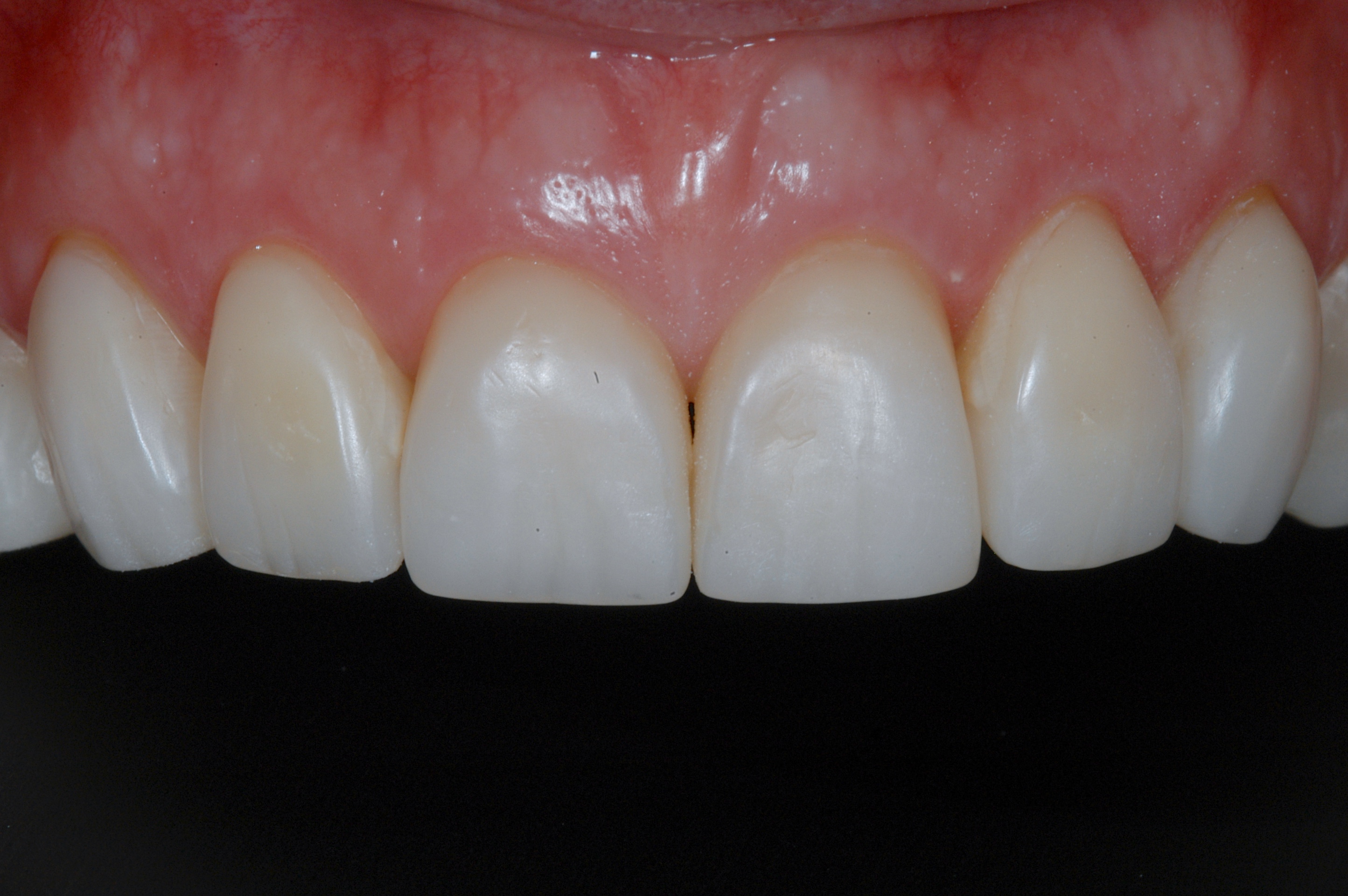
After explaining to the patient what had happened, and the changes she needed to make in her diet and habits, the teeth were then restored conservatively and cost-effectively with Composite Build-ups.

The teeth have been restored back to their proper size, colour and form using Composite Build-ups. The young lady changed her habits and stopped drinking soft drinks, and enjoyed her "second chance" with her teeth.